SERVICES
Flexible payment options designed for your ultimate convenience
Enhance your smile with expert dentistry with Dovedale Dental

What is a Smile Makeover?
What is a Dental Bridge?
At Dovedale Dental Practice, we offer custom-made bridges that blend seamlessly with your natural teeth. Our bridges restore function, prevent teeth from shifting, and bring back your confident smile.


What are Dentures?
What is a Root Canal Treatment?


What is Teeth Whitening?
What is Periodontal Treatment?


What is a Tooth Extraction?
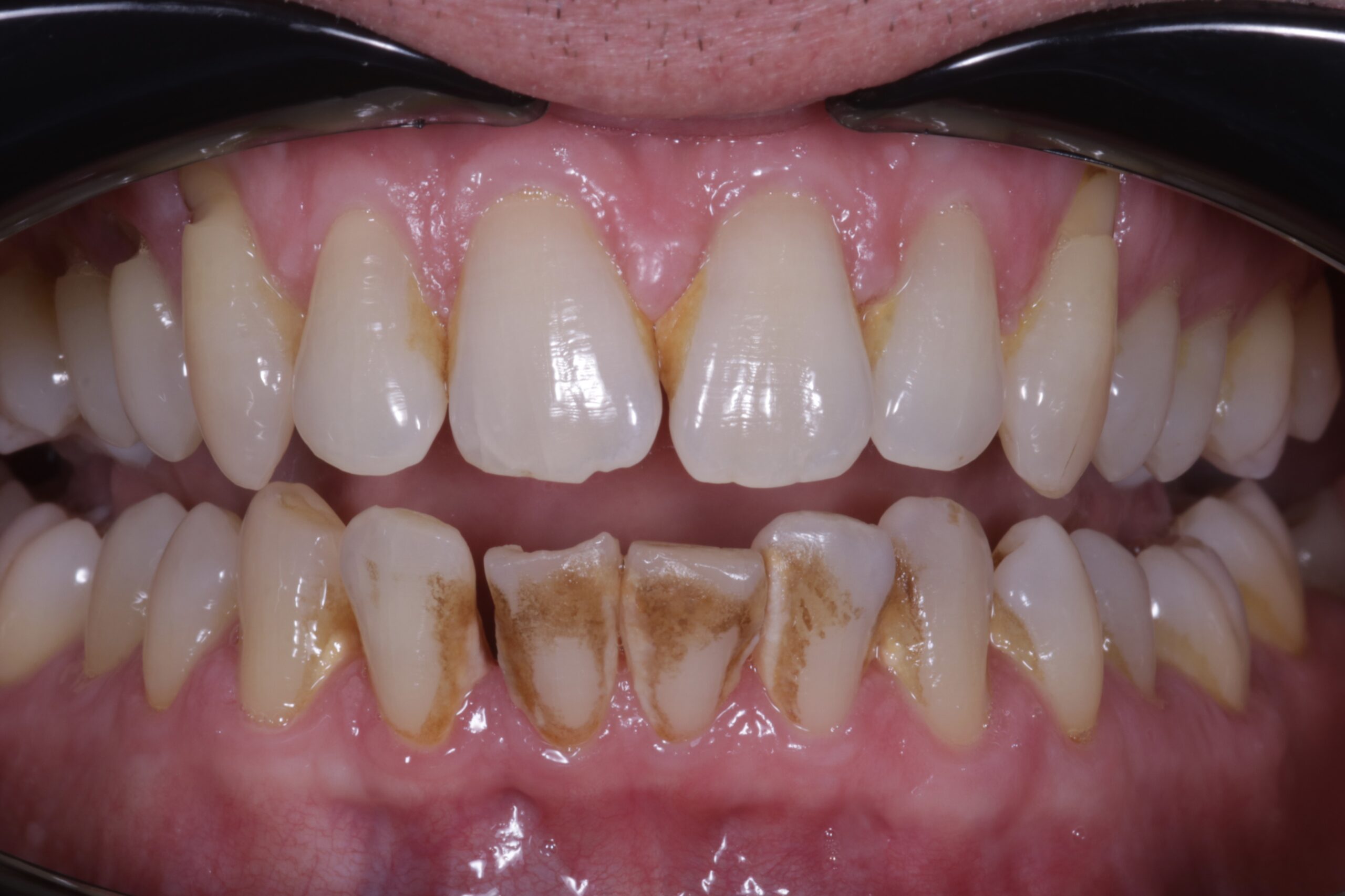
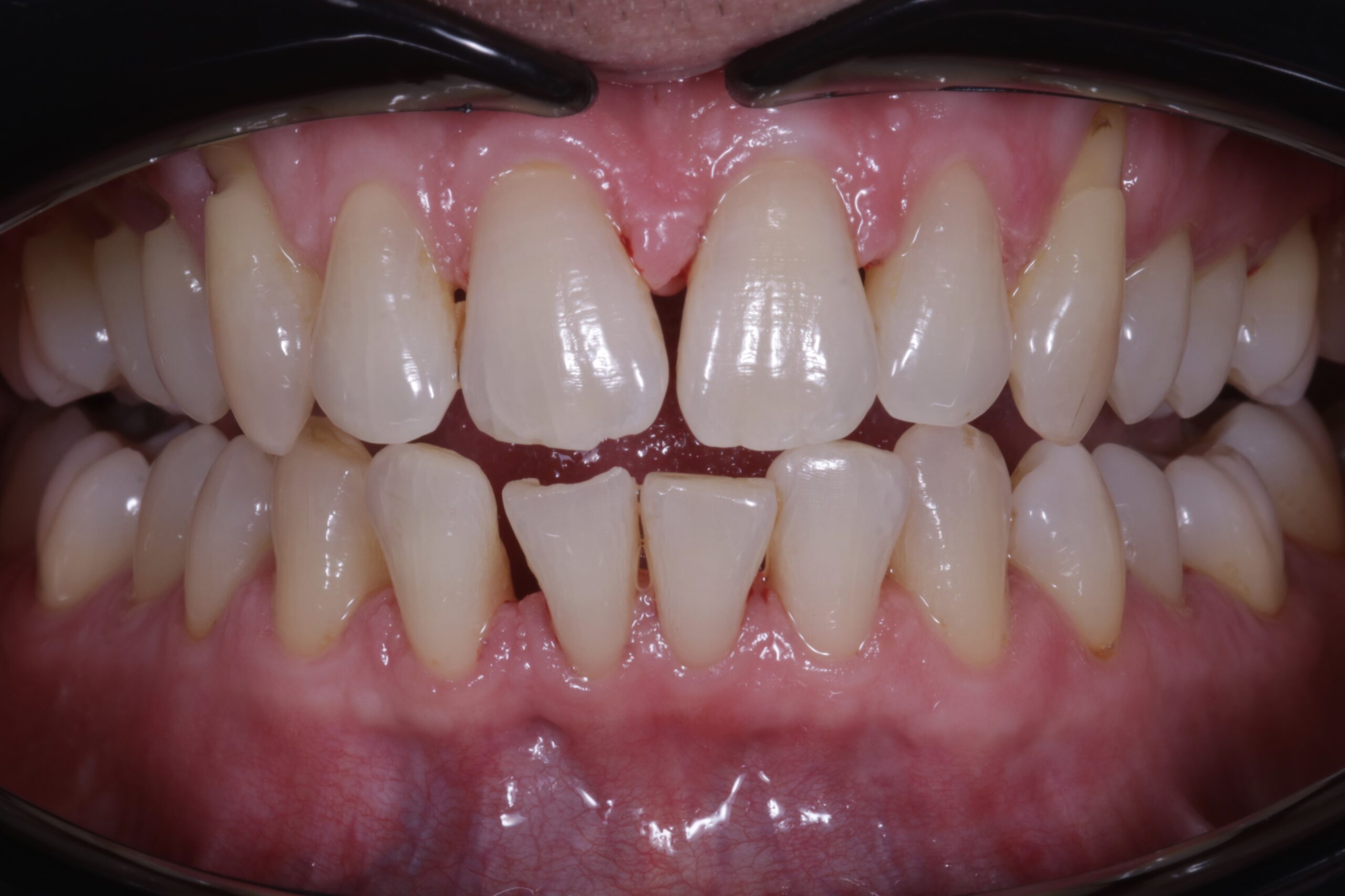
What is Stain Removal?


What is Teeth Straightening with Aligners ?
What is Teeth Straightening with Fixed Braces?


What is facial aesthetics treatment ?
What is Dental filling?

Questions about NHS and Private Dentistry
Many patients feel confused and uncertain about the subject of private dentistry. We find that the same questions are asked time and time again. By putting all these questions together, along with the answers, we hope we have provided a clear picture about private dental treatment, and the private services that are available from this practice.
NHS dental treatment offers affordable care through a banded pricing system: Band 1 for basic exams, Band 2 for more complex treatments like fillings, and Band 3 for extensive procedures such as crowns. For more details on pricing and treatment options, visit the official www.nhs.uk
Private dental treatment offers a wider range of services with more flexibility, including shorter waiting times and access to advanced treatments. Costs are often reflected in the availability of more complex and advanced cosmetic procedures, providing additional options for those seeking enhanced care.
A: Our practice has chosen to offer a private dental care service in addition to our NHS service because:
• It allows enough time to provide a quality patient experience
• It provides greater choice for patients. Treatment available on the NHS can be limited and often does not include cosmetic treatment that patients ask for, such as white fillings or dental implants.
• A better cosmetic result can be achieved that has a more natural look
• We can offer a more personal style of service
• We are able to invest in the latest technology, materials and equipment, and also in our practice team, so we can offer you the best service we can.
A: Yes. Our patients frequently ask us for cosmetic improvements that they have seen in literature and magazine articles. Although these may not be clinically necessary, we are happy to discuss these options, and also advise you if they may not be suitable for you.
A: We have introduced our practice membership scheme in the best interests of our patients. It is designed to maintain patients’ dental health, as it requires you to attend the practice twice per year. This means that we can monitor you more closely and detect problems early which often leads to less invasive treatments being required. It is also designed to help you budget for you routine dental care by paying smaller monthly amounts – Our Plan Memberships start from £9.50/month, and you will receive a 20% discount off most routine treatments and have the benefit of access to our assistance scheme should you have an accident or need to see a dentist for an emergency appointment, this is by far the best option for our patients to keep them healthy.
A: No we will continue to see your children on the NHS
A: I have some examples here of our typical private fees. An exact quotation will only usually be possible after an examination as your clinical needs will determine the treatment your dentist will recommend. You will be given a full breakdown of any treatments required and the costs once you have seen your dentist before you commit to going ahead.
A: We work very hard to establish relationships with patients that are based on partnership and open communication. We only provide care and treatment that is necessary, or which improves the appearance of your teeth, should you wish this. The dentist will be able to describe exactly the proposed treatment, its benefits and risks, as well as any alternatives that are available. If the dentist is suggesting a complex treatment plan, such as a bridge or dental implants, you have the opportunity to consider the suggestion fully and obtain a second opinion from another dentist if you wish.
We hope this answers a lot of your questions. If you have any more queries, please don’t
hesitate to ask one of our dental team
OPENING TIMES
Monday : 8am – 4.30pm
Tuesday : 8am – 4.30pm
Wednesday : 8am – 4.30pm
Thursday : 8am – 4.30pm
Friday : 8am – 12.00pm
Saturday : Closed / Appointment only
Sunday : Closed / Appointment only